Dərc edildi: Baxış sayı: 990
Çin həkimləri koronavirusa yoluxmuş xəstənin ağciyərlərinin görüntülərini yaydılar - FOTO
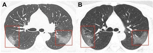
Çin həkimləri koronavirusa yoluxmuş şəxsin ağciyərlərinin şəkillərini nümayiş etdiriblər.
Ens.az oxu.az-a istinadən xəbər verir ki,“Radiology” jurnalında dərc edilmiş şəkillər Çinin Lançjou şəhərində 39 dərəcə temperaturla xəstəxanaya yerləşdirilmiş 33 yaşlı qadının kompüter tomoqrafiyasıdır.
Birinci şəkildə görünən "tutqun şüşə effekti” üç gün sonra çəkilmiş ikinci şəkildə daha da artır.
Bu fotolar tibb aləminə virusu müəyyən etməkdə yardımçı olacaq.




Şərhlər
Şərhləri göstər Şərhləri gizlət