İnsanı beynin anatomiyası üzrə identifikasiya etmək mümkündür
Beynin strukturu barmaq izinə oxşardır - bu orqanın eyni anatomiyası ilə iki insan yoxdur. Bu unikallıq həm genetikanın, həm də individual təcrübənin nəticəsidir, buna görə də bu qaydada hətta əkizləri belə fərqləndirmək olar. Bu barədə araşdırma Scientific Reports jurnalında dərc olunub.
Beyni digər orqanlar kimi məşq etdirmək olar, buna görə də xüsusi fəaliyyət növləri ilə məşğul olan insanlarda (məsələn: musiqiçilər və ya şahmat oyunçuları) beynin müəyyən sahələri daha çox olur. Bununla belə onu hətta qısamüddətli hadisələr dəyişə bilir: əgər bir neçə həftə ərzində bir əlini hərəkət etdirməsəniz, onda beynin bu ətrafın idarəetməsinə cavabdeh olan sahəsi kiçiləcək.
“Biz nəticədə illər ərzində beynin tam olaraq unikal anatomiyasını yaradaraq beyinə təsir edən belə təcrübə genetika ilə qarşılıqlı əlaqədə olduğundan şübhələnirdik”, - İsveçrənin Sürix Universitetindən olan əsas məqalə müəllifi Luç Yanke deyir. Hipotezi yoxlamaq üçün alimlər 191 yetkin sağlam insanın beynini iki il ərzində üç dəfə maqnit-rezonan tomoqrafiyanın köməyi ilə araşdırıblar. Orqanın tam həcmi, beyin qabığının qalınlığı, boz və ağ maddənin həcmi kimi 450 xarakteristikası ölçülüb. Hər təcrübədən keçən üçün parametrlərin unikal kombinasiyasını müəyyən etmək mümkün olub, identifikasiyanın dəqiqliyi isə ən ümumi xarakteristikalarla 90%-dən çox olub.

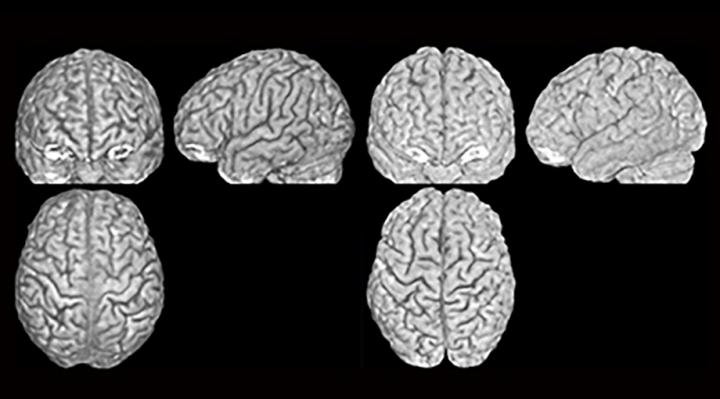
İki əkizin beyninin müxtəlif rakurslardan skan edilmiş şəkilləri. Hər ikisinin anatomiyasının detalları bir-birindən fərqlənir.
Lutz Jaencke/UZH
“Genetika və qeyri-genetik faktorların birləşməsi beynin təkcə funksionallığına deyil, onun anatomiyasına da təsir edir, - Yanke yekunlaşdırır. - Cəmi 30 il əvvəl biz fikirləşirdik ki, beyində individual xarakteristikalar ya yoxdur ya da çox azdır, beyin üzrə şəxsi identifikasiya təsəvvür edilmirdi”. Kəşf həm beynin vizuallaşdırma vasitələrinin, həm də belə məlumatları emal edən proqramların sürətlə inkişafı sayəsində mümkün olub. Həm də belə prosedur barmaq izi və digər identifikasiya üsullarını əvəz etməyəcək. Çünki o bahadır və mürəkkəb avadanlıq tələb edir, bu gün istifadə edilən metodlar isə 100%-ə yaxındır.
Mənbə: Indicator.ru




Şərhlər
Şərhləri göstər Şərhləri gizlət