Koronavirusun çoxalmasının ilk şəkilləri çəkildi
Bu barədə “Bloomberg” agentliyi yazır.
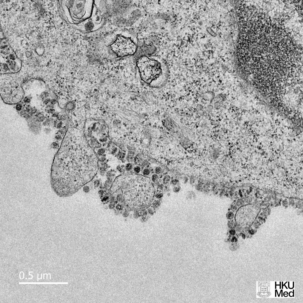
Şəkillərdə 2019-nCoV koronavirusuna yoluxmuş hüceyrələri görmək olur.
Mütəxəssislərin məlumatına əsasən, virusa yoluxmuş hər bir hüceyrə minlərlə yeni virus hissəciklərinin daşıyıcısını yarada bilər.
Virusun öyrənilməsi ilə məşğul olan tədqiqatçılardan biri olan Con Nikols bildirib ki, universitet ştammı olmayan digər alimlərə özlərinin apardıqları araşdırmaların nəticələrini verməyə hazırdır.
Son məlumatlara görə, Çində koronavirus səbəbindən artıq 213 nəfər həyatını itirib.
ÇXR ilə yanaşı, İtaliya, Yaponiya, Cənubi Koreya, Tailand, ABŞ, Almaniya, Avstraliya, Finlandiya və Fransada da yoluxma halları qeydə alınıb.
2019-nCoV virusu insandan insana ötürülür. İnfeksiyanın əsas əlamətləri arasında qızdırma, halsızlıq və öskürək var.





Şərhlər
Şərhləri göstər Şərhləri gizlət