Xroniki yuxusuzluq müasir həyatın problemlərindən biridir
Kanadalı alimlər günümüzün ən geniş miqyaslı problemi olan yuxusuzluğun beyinə təsirini araşdırıblar.
Qərbi Ontario Universitetindən bir qrup tədqiqatçı dünyanın sakinlərini internetdə idraki testlərdən keçməyə səsləyirlər.
Xüsusi tərtib olunmuş proqramlar vasitəsilə istəyən hər kəs məntiq, dil anlayışı və qərar qəbulu bacarıqlarını nəzərdən keçirə bilər.
Mən də beynimin skanerdən keçirilməsi əsasında bu testləri sınamaq qərarına gəldim.
Pionerlər
Tədqiqata beyin və şüur üzrə işləyən Qərbi Ontario Universitetinin britaniyalı professor-nevroloqu Adrian Owen rəhbərlik edir.
"Hamımız yuxusuzluq zamanı keçirdiyimiz hissələrlə tanışıq, lakin, onun beynimizə təsiri haqqında çox biliyə malik deyilik," professor Owen izah edir.
"Biz, bunun idraki qabiliyyətimiz, yaddaş və konsentrasiyaya təsirini aydınlaşdırmaq istəyirik."
Tədqiqat əsnasında alimlər yuxuda keçirilən zamandan asılı olaraq insanların idraki göstəriciləri arasında fərqi müəyyənləşdirmək niyyətindədirlər.
Heç şübhəsiz insanların yuxuya olan tələbatı fərqlidir. Əgər tədqiqatçılar kifayət qədər könüllü toplaya bilsələr, beyinin optimal fəaliyyəti üçün kifayət edən orta statistik yuxu saatı müəyyənləşdirə biləcəklər.
Mən, dörd nəfərdən ibarət könüllü ilə birgə Qərbi Ontario Universitetində "beyin üçün oyunlar" tətbiq olunan bir gecə keçirdim. Oyunlar, yuxunun uzunluğundan asılı olaraq qəbul edilə bilən məlumat qabiliyyətinin necə dəyişdiyini ortaya çıxarır.

Könüllülər (yuxarıda soldan başlayaraq saat əqrəbi istiqamətində): doktor Hooman Ganjavi, Silvia Salevski, Evan Agnew, Cecilia Kramer
Könüllülər:
- Doktor Hooman Ganjav,i 42 yaş, psixiatr. O, tez-tez gecə növbəsində xəstələrlə işləyir: "gecə 4-5 saat yuxu mənim üçün normadır. Bilirəm ki, yuxusuzluq ürək xəstəlikləri yarada və hətta, insulta səbəb ola bilər, amma, bir çox həkimlər kimi mən də bunu ağlıma gətirmirəm."
- Silvia Salevski, 31 yaş. İki qızı var və onlar beş yaşa çatmayıblar: "Ən yaxşı gecə, qızlarımın məni yalnız iki və ya üç dəfə oyatdığı gecədir. Bütün gecəni rahat yatmağın necə olduğunu unutmuşam və səhərlər tez-tez özümü narahat hiss edirəm."
- Evan Agnew, 75 yaş, təqaüdçü, gecə növbələrində katib kimi çalışıb: "Heç vaxt gecə boyunca 8 saat yatmaq ehtiyacı hiss etməmişəm, lakin bu yaşımda bir dəfəyə 4 saatdan artıq yatmaq da lazım deyil mənə. Gün ərzində bir neçə dəfə mürgüləyərək yuxumu alıram."
- Cecilia Kramar, 31 yaş, nevroloq. O, gecə yarasalarının idraki qabiliyyətini araşdırır və buna görə də laboratoriyada gec saatlara qədər işləməli olur: "Əgər yuxumu tam almamışamsa, növbəti gün elmi işlər oxumaq kimi çətin işlərin öhdəsindən gələ bilmirəm, çünki, beynim normal fəaliyyət göstərmək iqtidarında olmur."
Testlər
Tədqiqat müəlliflərinin təqdim etdiyi testləri adi kompüterlər, planşetlər və hətta smartfonlarda da sınamaq olar.
"İkili problem": İlk baxışda hər şey asan görünür, lakin, bu test beyni hərəkət etdirir. Siz, yuxarıda yazılan sözə uyğun aşağıdakı rəngi üzərinə basmalısınız. Əgər yuxarıda "göy" sözü qırmızı rəngdə yazılıbsa, aşağıda qırmızı rəngdə olan sözü sıxmaq lazımdır. Həyəcan vericidir...
"Artıq olanı aradan qaldır": test asan başlasa da, ümumi sıraya uyğun gəlməyən fiquru aşkar etməyə çalışdıqca çətinləşir.
Qrammatik məntiq: təqdim olunan diaqramdakı göstərilənlər doğrudur yoxsa səhv? İlk baxışda burada çətin heç nə yoxdur, amma, göstərilənlər neqativ olduqda müəyyənləşdirmə də çətinləşir.
Məkan planlaşdırması: bütün oyunlar kimi bu testlər də, gündəlik həyatda istifadə etdiyiniz idrak bacarıqları əsasında sizin planlama qabiliyyətinizi müəyyənləşdirir.
Necə öhdəsindən gəldik?
Biz dörd saat yatdıqdan sonra, səhər saat 4-də oyadıldıq.
Səhər yenidən idraki testləri keçdikdə Evan, Cecilia və mənim nəticələrim gecəkindən daha pis oldu.
Gecələr xəstələrlə işləməyə alışan Hooman-n nəticələri demək olar ki, dəyişməmişdi və Silvia-n nəticələri isə daha da yaxşılaşmışdı.

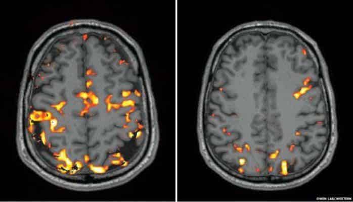
Şəkildə beyinin tam yuxu aldıqdan və solda yuxusuz gecədən sonrakı fəaliyyət görünüşü
"Özümü azacıq narahat hiss etsəm də, məsələ burasındadır ki, az yatmağa öyrəşmişəm," Silvia izah edir.
"Uşaqlar oyanan kimi ayılmağa məcburam, buna görə də mənim üçün bu normal haldır."
Mən həmişə bilmişəm ki, tam yuxu almasam, işləyə bilmərəm. Ona görə də səhər tezdən idraki göstəricilərim anidən aşağı düşdü.
Beynimdə nə baş verdiyini aydınlaşdırmaq üçün mən idrakı testi maqnit-rezonans tomoqrafiyasının (MRT) içində təkrarladım.
Məni iki dəfə skandan keçirdilər: normal yatdığım gecədən və yuxusu gecədən sonra.
MRT beyinə axan qanı müəyyənləşdirə bilir: qrafikdə narıncı ləkələr kimi görünən hissələrdə qan daha güclü hərəkət edir.
Hər iki skan arasındakı fərq dərhal gözə çarpırdı: yuxusuz gecədən sonra, beynimin aktivliyi adekvat deyildi, yəni, beynimdə daha az proses baş verirdi.
"Beyinin qərar, yaddaş və məsələlərin həlli üçün cavabdeh hissələri kimi bilinən alın və pariyetal hissələrində azalma müşahidə olunur," professor Owen izah edir.

Tədqiqata Qərbi Ontario Universitetindən professor Adrian Owen rəhbərlik edir
Hamımız bilirik ki, yorğun halda maşın idarə etmək nə qədər təhlükəlidir. Həm reaksiya vermək qabiliyyəti azalır, həm də rol arxasında yuxulamaq mümkündür.
"Şübhəsiz ki, yuxusuzluq qərar qəbuluna təsir göstərir. Buna görə də ev alışı və ya evlilik kimi təklifləri yuxulu halda dəyərləndirməkdən yayınmaq lazımdır," professor Owen deyir.
Niyə bu qədər vacibdir?
Biz demək olar ki, həyatımızın üçdə bir hissəsini yuxuda keçiririk və qəbul etdiyimiz qida və hava kimi yuxu da sağlamlığımız üçün çox vacibdir.
Lakin, müasir həyatın tempi yuxuya daha az vaxt sərf etməmizə səbəb olur.
Bununla belə, Nature Reviews Neuroscience elmi jurnalından dərc olunan məqalədə göstərildiyi kimi biz, xroniki yuxusuzluğun beynimizə necə pis təsir etdiyini düzgün bilmirmişik.
Məqalədə inkişaf etmiş ölkələrdə yuxunun azalması və əlavə tədqiqatlara olan ehtiyac göstərilib.
Və yuxu tədqiqatında iştirak edən könüllülər, cəmiyyətimiz və alimlərin bu barədə suallarına cavabın axtarışında böyük kömək olublar.
Mənbə: BBC Azərbaycan




Şərhlər
Şərhləri göstər Şərhləri gizlət