6 распространённых признаков подагры
Американские исследователи из клиники Мэйо (Mayo Clinic) рассказали прессе о самых распространённых признаков подагры – суставного заболевания, представляющего собой сложную форму артрита. Подагра особенно опасна своими осложнениями: у страдающих этим недугом людей на 35% повышен риск сердечно-сосудистых заболеваний, в частности, риск гипертонии, ишемии, пишет Medikforum.
Вот распространённые признаки развития подагры
1. Сильная длительная боль
При подагре в суставах появляется сильная боль, которая может подолгу не проходить – в течение 4 часов и более.
2. Боль по ночам
По словам врачей, для подагры типично то, что боль возникает по ночам.
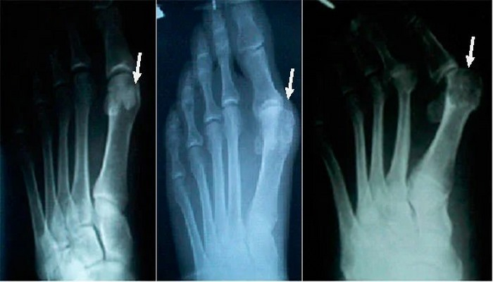
3. Поражение конкретных суставов
Типичный симптом, позволяющий узнать подагру, – поражение сустава большого пальца на ноге. Также часто при этом заболевании воспаление и боль локализуются в коленях, локтях, запястьях, пальцах рук.
4. Покраснение и температура
Сустав, затронутый подагрой, становится не только болезненным, но и горячим – визуально можно заметить в пораженном месте опухоль, покраснение.
5. Продолжительный дискомфорт
После стихания сильной боли продолжительное ощущение дискомфорта – от нескольких дней до нескольких недель человек может чувствовать, что его суставы по-прежнему нездоровы.
6. Ограничение движений
Болезненные, воспалённые и распухшие суставы не позволяют нормально двигаться. По мере развития подагры человеку становится всё сложнее нормально двигать суставами не только в моменты обострения болевого синдрома.
Профилактика подагры
Учёные рекомендуют в качестве профилактики подагры есть меньше тяжёлой белковой пищи. Среди продуктов главными провокаторами подагры, по их словам, являются алкоголь, сахар, фруктоза, красное мясо, печень, почки, моллюски, крабы, чечевица, бобы и горох. Людям с симптомами подагры в своём рационе следует делать упор на нежирные молочные продукты, а также пить больше чистой воды.
Источник: Health & Life




Комментарии
Показать комментарии Скрыть комментарии