Момент заражения коронавирусом показали под микроскопом
Бразильским ученым удалось зафиксировать на фотографиях момент заражения клетки коронавирусом. Снимки были опубликованы на сайте Фонда Освальдо Круз (Бразилия).
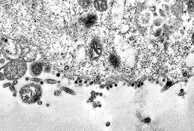
Ученые утверждают, что на снимках можно увидеть момент, когда вирус SARS-CoV-2 проникает в клетку и заражает ее. На изображениях заметны темные точки, которые проникают в цитоплазму клетки, внутри которой расположено ее ядро с генетическим материалом. Финальный снимок содержит скопление частиц возбудителя инфекции в инфицированной клетке.

Фотографии были выполнены с помощью электронного микроскопа, способного увеличивать объекты до двух миллионов раз. По словам специалистов, снимки были сделаны случайно во время изучения репликации вируса. Фонд уточнил, что изображенные на фото клетки принадлежат не человеку, а примату из вида зеленых мартышек, генетический материал которых часто используется в научных целях.
В конце марта российские медики получили видео, на котором показано воздействие коронавируса на организм человека. На кадрах можно увидеть развитие SARS-CoV-2 — инфекция постепенно захватывает легкие одного из пациентов.
Ранее Лаборатория Новосибирского Государственного научного центра вирусологии и биотехнологии «Вектор» сделала снимок коронавируса SARS-CoV-2, вызвавшего пандемию COVID-19. Организация обладает одной из самых полных коллекций вирусов и является единственным медицинским учреждением за Уралом, которое имеет право производить вакцины по сертификату GMP.
Источник: Lenta.ru




Комментарии
Показать комментарии Скрыть комментарии