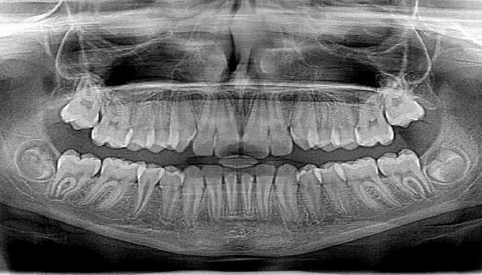
Рентгенография полости рта может выявить хроническое заболевание коронарной артерии
Кальциноз сонной артерии – признак прогрессирующего атеросклероза, который может быть связан с хронической коронарной недостаточность (КН) и может привести к смерти. Такой кальциноз можно увидеть при обычной панорамной рентгенографии полости рта.Kак сообщает Ens.az со ссылкой на Med2.ru
В новом исследовании ученые наблюдали за пациентами в течение 10 лет, дополнительно исследовав микробиом полости рта. В общей сложности в работу было включено более 500 пациентов среднего возраста, которые были направлены на коронарную ангиографию из-за симптомов сердечно-сосудистого заболевания в период с 2008 по 2018 год.
«Инфекции полости рта довольно распространены, но они часто являются латентными и обнаруживаются только при рентгенографии. Рентгенограммы всей челюсти, проведенные в сочетании со стоматологической помощью, могут выявить риск сердечно-сосудистых заболеваний. Если на рентгенограмме виден кальциноз сонной артерии, пациента необходимо направить на дальнейшие обследования», - рассказывает доцент Пиркко Пуссинен из Хельсинкского университета.




Комментарии
Показать комментарии Скрыть комментарии