Синдром исчезающих костей: редкая, странная и малоизученная болезнь
Синдром исчезающих костей или Болезнь Горхема или костнососудистая дисплазия очень редкая аномалия костей скелета. Синдром настолько редок и малоизучен, что до сих пор точно неизвестны его причины и условия возникновения. Впервые синдром был научно описан в 1954 году, но описания болезни, похожей на него, встречались и в прошлые века. На данный момент о синдроме известно лишь, что эта болезнь врожденная и что проявляется она тем, что костная ткань постепенно, но неотвратимо разрушается, а на ее месте возникает сплетение тонких кровеносных сосудов.
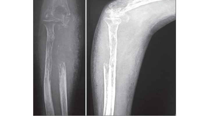
Рентгеновский снимок с частично "исчезнувшей" костью

В марте 2018 года в медицинском журнале "BMJ Case Reports" появился уникальный материал от врачей королевской больницы Эдинбурга - история наблюдении развития синдрома исчезающих костей у неназванной 44-летней женщины - жительницы Шотландии. Все началось с того, что женщину стали мучить учащающиеся боли в ее левом плече. Потом ей стало сложно двигать этой рукой. Когда она обратилась в больницу, у нее сначала заподозрили рак, однако две последующие биопсии ничего не показали. Лишь третья биопсия выявила аномалию и это оказалось разрастание кровеносных сосудов в районе плечевой кости. За последующие месяцы у женщины увеличивались боли, рука опухла, разрасталась сосудистая ткань и одновременно разрушалась костная ткань. И лишь спустя 18 месяцев, когда кость на рентгеновских снимках стала почти не видна, врачи поняли, что имеют дело с синдромом исчезающей кости. На представленных ниже рентгеновских снимках хорошо видно как постепенно пропадала плечевая кость пациентки. На последнем снимке кость уже не видна и ее место заняла разросшаяся сеть тонких кровеносных сосудов.

С 1954 года в истории медицины было зафиксировано всего 64 случая синдрома исчезающих костей и большинство из них поражали кости рук. В сети можно найти еще более редкие аномалии, когда синдром поражал кости черепа, в том числе нижнюю челюсть.


Из-за чрезвычайной редкости не существует единого способа лечения этого синдрома. Хирурги могут лишь удалить часть пораженной кости, либо попробовать пересадить на пораженный участок кости кусочек здоровой костной ткани с надеждой, что он разрастется. Также можно применять лучевую терапию, но о ее успешности ничего не известно. Это довольно пугающий синдром, но есть одна хорошая новость, по крайней мере он не злокачественный и если болезнь поразила определенную кость, она не перейдет на другие кости скелета.
Источник: paranormal.ru




Комментарии
Показать комментарии Скрыть комментарии