Koronavirüs insan akciğerlerine ne yapar
Koronavirüsten ölen 44 yaşındaki Çinli bir adamın şok edici röntgen görüntüleri, hastalığın bir kişinin akciğerlerine ne yaptığını gösterir. Önümüzde duran en büyük sorun virüsün en tehlikeli ve ciddi komplikasyonu olan pnömonidir (zatürre).
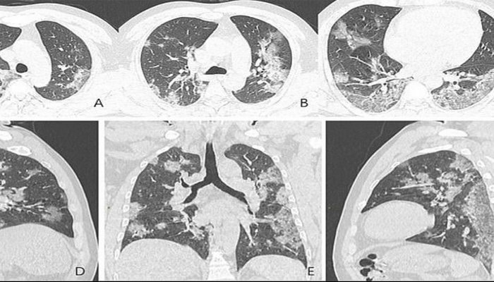
Koronavirüsten ölen 44 yaşındaki Çinli bir erkeğin röntgen filmleri ve bilgisayarlı tomografisi yayınlandı. Hastalığın insanların akciğerlerine ne yaptığını açıkça gösterir. Taramalarda, akciğerlerde beyaz lekeler görülebilir, bunu da radyologlar “buzlu cam” türü olaraq bilinen subplevral odak deyisiklikleri kimi gosterirler. Koronavirüs kurbanlarındaki doktorlar tarafından belirlenen benzer deyişiklikler atipik pnömoni (Zatürre) ve Orta Doğu solunum sendromunda bulunanlara benzer.
Bu, Wuhan'daki deniz ürünleri pazarında çalışan ve koronavirüsdan ölen adamın göğsünün röntgeni. Tam da orada salgın başlamıştı. Anormallikleri açıkça gösteriyorlar. Taramalar Kuzey Amerika Radyoloji Topluluğu tarafından sunulmaktadır. Taramalarda erkeğin akciğerlerinin boşluklarındaki sıvının zamanla nasıl daha belirgin hale geldiğini gösteriliyor. Hasta, geçen yıl yaklaşık iki hafta boyunca ateş ve öksürük şikayetlerinden sonra 25 aralıkta hastaneye kaldırıldı. Hastaya pnömoni ve akut solunum sıkıntısı sendromu teşhisi kondu.
Doktorlar ona gerekli tüm yardımı sağladı, ancak buna rağmen bir hafta sonra öldü. Wuhan şehrini ziyaret ettikten sonra koronavirüsa yolukmuş 54 yaşındaki kadının taramaları da, akciğer boşluğunun kısmi sıvı ile dolmasını gösterdi. Kadına, bir hafta süren ateş, öksürük, yorgunluk ve göğüsteki durgunluk belirtileri sonrası virüsün neden olduğu şiddetli pnömoni teşhisi kondu.Daily Mail hastaya oksijen ve antibiyotik tedavisi edildiyini yazıyor.
kaynak: www.medikforum.ru




Yorumlar
Yorumları Göster Yorumları Gizle